East Cooper Smiles
Mount Pleasant, SC Dentist
East Cooper Smiles Logo

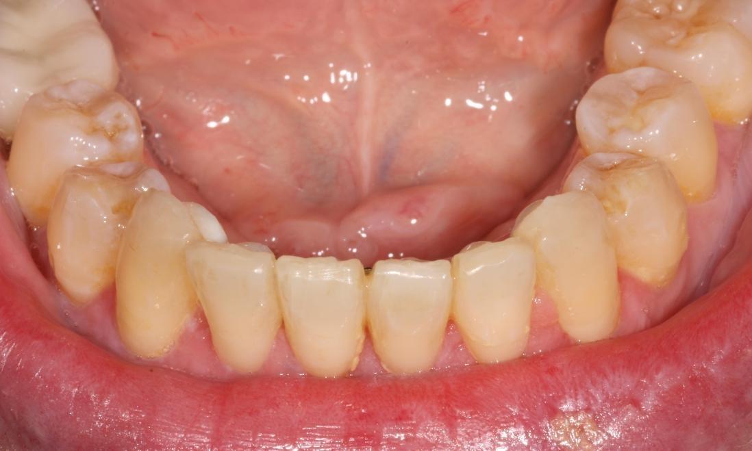
Six Month Braces on crowded lower teeth

One of the most common issues we see with orthodontic relapse is crowding in the lower front teeth. This patient had braces in the past, but over time, her bottom teeth began to shift out of place.

To address the crowding quickly and efficiently, we used Six Month Braces on her lower teeth only. In just five months, her smile was beautifully aligned—no upper braces needed!

Before: Crowded and overlapping lower front teeth from orthodontic relapse.
After: Smooth, even alignment and a refreshed smile—all in under half a year!

Six Month Braces is a powerful, targeted solution for adults who want to correct shifting teeth without the hassle of full-mouth orthodontics.

Micah's Dental Transformation
Ready to Book an Appointment?
If you have difficulty using our website, please email us or call us at (843) 884-7200
View the ADA Accessibility Statement