Smile Gallery
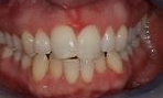
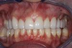
This patient came to East Cooper Smiles with severely worn teeth that affected both his smile and overall dental function. Years of wear had taken a toll on the shape, strength, and appearance of his teeth.
With a personalized treatment plan, Dr. Annan restored his smile using high-quality dental crowns. Each crown was custom-crafted to rebuild the tooth structure, improve bite alignment, and enhance aesthetics.
The results speak for themselves—his smile is now healthier, more youthful, and full of confidence.
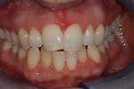
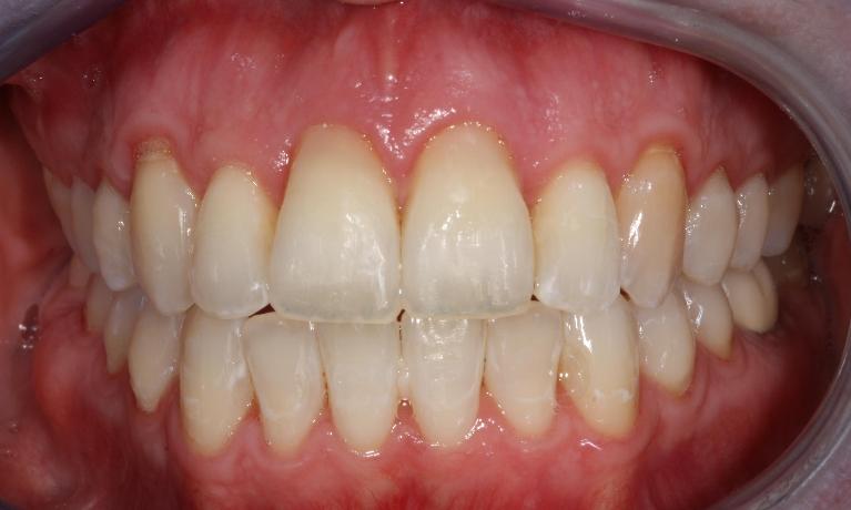
One of the most common issues we see with orthodontic relapse is crowding in the lower front teeth. This patient had braces in the past, but over time, her bottom teeth began to shift out of place.
To address the crowding quickly and efficiently, we used Six Month Braces on her lower teeth only. In just five months, her smile was beautifully aligned—no upper braces needed!
Before: Crowded and overlapping lower front teeth from orthodontic relapse.
After: Smooth, even alignment and a refreshed smile—all in under half a year!
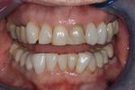
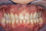
This patient experienced a dental emergency when she lost her upper bridge. With finances tight and a full replacement not immediately within reach, she was looking for a reliable, non-removable option—without resorting to a bulky denture.
Dr. Annan provided a unique and highly esthetic transitional bridge that restored her smile comfortably and affordably. Designed to last several years, this custom solution gave her the confidence to smile again while she plans for a more permanent restoration in the future.
Before: Missing upper bridge left a noticeable gap and compromised smile function.
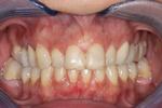
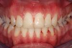
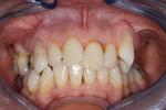
This patient had braces as a teenager, but over the years, her teeth began to shift out of alignment. She wanted a fast, affordable solution to restore her smile—without the long commitment of traditional braces.
With Six Month Braces, we were able to straighten her teeth and dramatically improve her smile in just six months. The results speak for themselves: a confident, beautifully aligned smile that fits her lifestyle and goals.
Before: Notice the crowding and misalignment in the front teeth.
After: A straight, natural-looking smile achieved in half a ...
This patient wanted a brighter, more balanced smile—but didn’t want braces or whitening treatments. Veneers were the perfect solution.
Dr. Annan designed custom porcelain veneers to enhance the shape, size, and shade of her teeth. The result? A flawless, natural-looking smile that complements her features beautifully.
Before: Discoloration and uneven tooth shape created an unbalanced smile.
After: Bright, symmetrical teeth with a smooth, confident finish.
Whether you're looking to correct chips, gaps, or discoloration, veneers can deliver a complete smile makeover with minimal hassle.
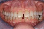
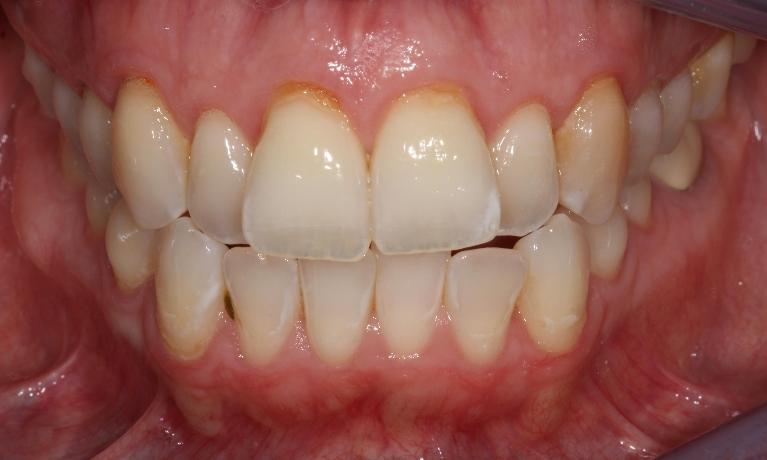
This patient wanted a bright, white smile—but her two front teeth had dark internal staining from previous root canals. Veneering all her teeth wasn’t in the budget, so Dr. Annan took a smart, affordable approach.
We placed porcelain veneers on just the two front teeth to mask the discoloration, then guided her through a custom teeth whitening treatment for the surrounding teeth. The result? A stunning, cohesive smile at a fraction of the cost of full-mouth veneers.
Before: Dark, stained front teeth and uneven color across the smile.
After: Bright, ...
This patient was unhappy with the alignment of her front teeth and wanted a fast, effective solution. In just 5 months, Six Month Braces gave her the smile she was hoping for.
Dr. Annan skillfully straightened and leveled her front teeth, creating a more balanced and confident look—all without the long timeline of traditional braces.
Before: Uneven, misaligned front teeth.
After: Straight, beautifully aligned smile in under half a year!
Quick, discreet, and life-changing—Six Month Braces delivers again!
This patient came to East Cooper Smiles concerned about the noticeable gap between her front teeth and an open bite that affected both her smile and bite function.
With Dr. Annan’s guidance, Six Month Braces provided an ideal solution. In just six months, her gap was closed, her bite was corrected, and her confidence was restored.
Before: Visible spacing between front teeth and an open bite.
After: A well-aligned, natural-looking smile with improved bite and symmetry!
Quick treatment, lasting confidence—Six Month Braces continues to deliver life-changing results.
This was a real WOW case! The patient had significant crowding and misalignment, especially on the upper right side. She wanted a fast, effective solution—and Six Month Braces delivered.
In just six months, Dr. Annan achieved a dramatic transformation. Her teeth were straightened, her bite improved, and her entire smile was beautifully balanced.
Before: Notice the upper right side—crowded and out of alignment.
After: A smooth, even smile with incredible improvement.
This is one happy patient—and the photos say it all!
This patient came to East Cooper Smiles with deep, stubborn staining that over-the-counter whitening couldn’t touch. He wanted a brighter, cleaner-looking smile—and KöR Deep Bleaching delivered.
After just six weeks of treatment, his teeth were six shades whiter, with a dramatic improvement in overall appearance and confidence.
Before: Dark intrinsic stains and a dull, aged smile.
After: Noticeably whiter teeth and a fresher, more youthful look.
KöR Deep Bleaching is a powerful solution for tough stains—and this result proves it!
This patient came to East Cooper Smiles with significantly dark-stained teeth and a desire for a noticeably brighter smile. Over the course of just six weeks, Dr. Annan guided him through the KöR Deep Bleaching system.
The result? His teeth lightened by six shades, revealing a clean, refreshed smile he’s proud to show off.
Before: Deep intrinsic staining and dark overall tooth color.
After: Whiter, brighter teeth and a dramatically improved appearance.
KöR Deep Bleaching is a powerful solution for even the toughest stains—and this case proves it!
This young lady achieved a beautiful transformation with Six Month Braces—quickly and comfortably. Her case is a perfect example of the kind of results we see time and time again with this treatment.
Dr. Annan carefully guided her teeth into alignment, creating a straighter, more confident smile in just six months.
Before: Mild crowding and uneven alignment.
After: A smooth, balanced smile that looks and feels amazing.
Fast, effective, and life-changing—another typically amazing result with Six Month Braces!
This was a straightforward case with a beautiful outcome. The patient wanted minor alignment correction, and Six Month Braces delivered—faster than expected!
In just five months, Dr. Annan helped her achieve a straighter, more confident smile with minimal hassle and maximum satisfaction.
Before: Mild misalignment of front teeth.
After: Smooth, even smile—and one very happy patient!
Simple, effective, and fast—that’s the power of Six Month Braces.
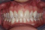
This patient had a crossbite involving her upper cuspid—so severe, the tooth wasn’t even visible when she smiled. It affected both her appearance and her confidence.
With Six Month Braces, Dr. Annan was able to correct the crossbite and bring the tooth into its proper position—all in just six months. The transformation is truly remarkable!
Before: Crossbite and hidden upper cuspid created an uneven, incomplete smile.
After: Aligned, balanced teeth with a full, confident smile she’s proud to share.
Another WOW result from Six Month Braces—fast, functional, and life-changing!
This patient was unhappy with both the shape and color of her teeth—concerns that couldn't be fixed with whitening or orthodontics alone. After a detailed consultation, Dr. Annan recommended custom porcelain veneers to transform her smile.
The result? A bright, beautifully shaped smile that looks natural and radiant.
Before: Irregular tooth shape and discoloration impacting her smile.
After: Even, symmetrical teeth with a luminous, confident finish.
When veneers are done right, the difference is truly stunning—and this case is the perfect example!
This young lady is absolutely thrilled with her beautifully straightened smile—all achieved in just six months with Six Month Braces!
Dr. Annan guided her through a smooth and effective treatment that transformed her teeth quickly and comfortably.
Before: Mild misalignment and crowding.
After: A confident, straight smile she’s proud to show off.
Fast results, happy patients—that’s what Six Month Braces is all about!
This patient came to East Cooper Smiles concerned about a front crossbite affecting his smile and bite function. Though the treatment took slightly longer than average—8 months—the result was well worth the time.
Dr. Annan carefully corrected the crossbite, creating a balanced, attractive smile that improved both appearance and comfort.
Before: Noticeable front crossbite impacting tooth alignment.
After: A straight, well-aligned smile with improved bite.
Sometimes great results take a little longer—and this case proves the patience pays off!
This case moved quickly—from start to finish in only five months—with impressive results. Dr. Annan helped the patient achieve beautifully straight teeth and a confident smile in record time.
Before: Mild misalignment and crowding.
After: Smooth, well-aligned teeth and a happy patient!
Fast, effective, and life-changing—that’s the power of Six Month Braces.
The "smile" zone can be quickly and conservatively enhanced with porcelain veneers. This is a painless process and is not harmful to your natural teeth.
This patient wanted to correct the color and shape of her teeth. The was done with some veneers and crowns.
Even darkly stained teeth can be bleached to a whiter shade with the Kor deep bleaching method. No tricks, no gimicks, no "magic Xoom light" just great results without the sensitivity and hassel.
Tetracycline stained teeth pose a difficult bleaching challenge, and the Kor deep bleaching system can produce significantly brighter teeth.
What are Six Month Braces? The Six Month Braces technique is a new twist on traditional orthodontics (braces). Focusing only on the teeth that bother you, Dr. Annan can straighten and beautify your smile in less time than traditional metal braces. Dr. Annan uses tooth-colored brackets and wires making treatment nearly invisible.